

貨號
產品規格
售價
備注
BN41759R-50ul
50ul
¥1486.00
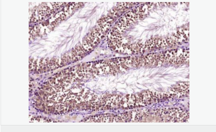
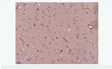
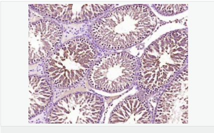
交叉反應:Human,Mouse,Rat(predicted:Pig,Horse) 推薦應用:WB,IHC-P,IHC-F,IF,ELISA
BN41759R-100ul
100ul
¥2360.00
交叉反應:Human,Mouse,Rat(predicted:Pig,Horse) 推薦應用:WB,IHC-P,IHC-F,IF,ELISA
BN41759R-200ul
200ul
¥3490.00
交叉反應:Human,Mouse,Rat(predicted:Pig,Horse) 推薦應用:WB,IHC-P,IHC-F,IF,ELISA
產品描述
| 英文名稱 | Securin |
| 中文名稱 | 垂體腫瘤轉化基因抗體 |
| 別 名 | AW555095; C87862; Cut2; EAP 1; EAP1; ESP1 ASSOCIATED PROTEIN 1; Esp1-associated protein; hPTTG; MGC126883; MGC138276; Pds1; Pituitary tumor transforming 1; Pituitary tumor transforming protein 1; Pituitary tumor-transforming 1, isoform CRA_a; Pituitary tumor-transforming 1, isoform CRA_b; Pituitary tumor-transforming gene 1; Pituitary tumor-transforming gene 1 protein; PTTG 1; PTTG; PTTG1; PTTG1 protein; PTTG1_HUMAN; Pttg3; Securin; TUMOR TRANSFORMING 1; Tumor transforming protein 1; TUMOR-TRANSFORMING 1; Tumor-transforming protein 1; TUTR 1; TUTR1. |
| 研究領域 | 腫瘤 細胞生物 免疫學 細胞周期蛋白 轉錄調節因子 表觀遺傳學 |
| 抗體來源 | Rabbit |
| 克隆類型 | Polyclonal |
| 交叉反應 | Human, Mouse, Rat, (predicted: Pig, Horse, ) |
| 產品應用 | WB=1:500-2000 ELISA=1:5000-10000 IHC-P=1:100-500 IHC-F=1:100-500 IF=1:100-500 (石蠟切片需做抗原修復) not yet tested in other applications. optimal dilutions/concentrations should be determined by the end user. |
| 分 子 量 | 22-28kDa |
| 細胞定位 | 細胞核 細胞漿 |
| 性 狀 | Liquid |
| 濃 度 | 1mg/ml |
| 免 疫 原 | KLH conjugated synthetic peptide derived from human PTTG1:101-202/202 |
| 亞 型 | IgG |
| 純化方法 | affinity purified by Protein A |
| 儲 存 液 | 0.01M TBS(pH7.4) with 1% BSA, 0.03% Proclin300 and 50% Glycerol. |
| 保存條件 | Shipped at 4℃. Store at -20 °C for one year. Avoid repeated freeze/thaw cycles. |
| PubMed | PubMed |
| 產品介紹 | The encoded protein is a homolog of yeast securing proteins, which prevent separins from promoting sister chromatid separation. It is an anaphase-promoting complex (APC) substrate that associates with a separin until activation of the APC. The gene product has transforming activity in vitro and tumorigenic activity in vivo, and the gene is highly expressed in various tumors. The gene product contains 2 PXXP motifs, which are required for its transforming and tumorigenic activities, as well as for its stimulation of basic fibroblast growth factor expression. It also contains a destruction box (D box) that is required for its degradation by the APC. The acidic C-terminal region of the encoded protein can act as a transactivation domain. The gene product is mainly a cytosolic protein, although it partially localizes in the nucleus. Three transcript variants encoding the same protein have been found for this gene. [provided by RefSeq, Sep 2013]. Function: Expressed at low level in most tissues, except in adult testis, where it is highly expressed. Overexpressed in many patients suffering from pituitary adenomas, primary epithelial neoplasias, and esophageal cancer. Subcellular Location: Cytoplasm. Nucleus. Post-translational modifications: Phosphorylated at Ser-165 by CDK1 during mitosis. Phosphorylated in vitro by ds-DNA kinase. Ubiquitinated through 'Lys-11' linkage of ubiquitin moieties by the anaphase promoting complex (APC) at the onset of anaphase, conducting to its degradation. 'Lys-11'-linked ubiquitination is mediated by the E2 ligase UBE2C/UBCH10. Similarity: Belongs to the securin family. SWISS: O95997 Gene ID: 9232 Database links: Entrez Gene: 9232 Human Entrez Gene: 30939 Mouse Omim: 604147 Human SwissProt: O95997 Human SwissProt: Q6IAL9 Human SwissProt: Q3Y5K4 Mouse SwissProt: Q5SRU0 Mouse SwissProt: Q9CQJ7 Mouse Unigene: 350966 Human Unigene: 6856 Mouse Unigene: 137183 Rat Unigene: 271 Rat Important Note: This product as supplied is intended for research use only, not for use in human, therapeutic or diagnostic applications. 垂體腫瘤轉化基因PTTG可在多種腫瘤組織及部分正常組織細胞內表達較高,對促進細胞增殖、轉化及腫瘤發生有重要作用。 |




