

貨號
產品規格
售價
備注
BN41411R-100ul
100ul
¥2360.00
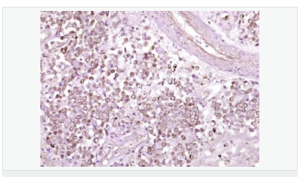
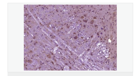
交叉反應:Human,Mouse,Rat(predicted:Dog,Pig,Cow,Rabbit) 推薦應用:WB,IHC-P,IHC-F,IF,ELISA
BN41411R-200ul
200ul
¥3490.00
交叉反應:Human,Mouse,Rat(predicted:Dog,Pig,Cow,Rabbit) 推薦應用:WB,IHC-P,IHC-F,IF,ELISA
產品描述
| 英文名稱 | GDN |
| 中文名稱 | 膠質源性連接蛋白抗體 |
| 別 名 | Glia derived nexin; Protease inhibitor 7; GDN; GDN_HUMAN; Glia-derived nexin; P17 antibody Peptidase inhibitor 7; Pi-7; Plasminogen activator inhibitor type 1, member 2; PN-1; PN1; PNI; Protease nexin 1; Protease nexin I; Serpin E2; Serpin peptidase inhibitor, clade E (nexin, plasminogen activator inhibitor type 1), member 2; SERPINE 2; Serpine2. |
| 研究領域 | 細胞生物 神經生物學 |
| 抗體來源 | Rabbit |
| 克隆類型 | Polyclonal |
| 交叉反應 | Human, Mouse, Rat, (predicted: Dog, Pig, Cow, Rabbit, ) |
| 產品應用 | WB=1:500-2000 ELISA=1:5000-10000 IHC-P=1:100-500 IHC-F=1:100-500 IF=1:50-200 (石蠟切片需做抗原修復) not yet tested in other applications. optimal dilutions/concentrations should be determined by the end user. |
| 分 子 量 | 42kDa |
| 細胞定位 | 細胞外基質 分泌型蛋白 |
| 性 狀 | Liquid |
| 濃 度 | 1mg/ml |
| 免 疫 原 | KLH conjugated synthetic peptide derived from human GDN/SERPINE2:301-398/398 |
| 亞 型 | IgG |
| 純化方法 | affinity purified by Protein A |
| 儲 存 液 | 0.01M TBS(pH7.4) with 1% BSA, 0.03% Proclin300 and 50% Glycerol. |
| 保存條件 | Shipped at 4℃. Store at -20 °C for one year. Avoid repeated freeze/thaw cycles. |
| PubMed | PubMed |
| 產品介紹 | The serine protease inhibitors (serpins) compose a superfamily of proteins with a diverse set of functions, including the control of blood coagulation, complement activation, programmed cell death and development. Serpins are secreted glycoproteins that contain a stretch of peptide that mimics a true substrate for a corresponding serine protease. Protease nexin-1 (PN-1) is a serpin that inactivates several proteases, including thrombin, urokinase, plasminogen activators (PA) and plasmin. It is involved in tissue remodeling, cellular invasiveness, matrix degradation and tumor growth. PN-1 expression is abundant in the nervous system, where it inhibits thrombin, thereby playing a role in neural injury and repair processes. An imbalance between PN-1 and thrombin may be a contributing factor in the pathology of Alzheimer’s disease. Function: Serine protease inhibitor with activity toward thrombin, trypsin, and urokinase. Promotes neurite extension by inhibiting thrombin. Binds heparin. Subcellular Location: Secreted, extracellular space. Similarity: Belongs to the serpin family. SWISS: P07093 Gene ID: 5270 Database links: Entrez Gene: 5270 Human Entrez Gene: 20720 Mouse Omim: 177010 Human SwissProt: P07093 Human SwissProt: Q07235 Mouse Unigene: 38449 Human Unigene: 708453 Human Unigene: 3093 Mouse Unigene: 2271 Rat Important Note: This product as supplied is intended for research use only, not for use in human, therapeutic or diagnostic applications. |



