

貨號
產品規格
售價
備注
BN41251R-100ul
100ul
¥2360.00
交叉反應:Human,Mouse(predicted:Rat,Pig,Cow,Horse,Rabbit,Sheep) 推薦應用:IHC-P,IHC-F,ICC,IF,ELISA
BN41251R-200ul
200ul
¥3490.00
交叉反應:Human,Mouse(predicted:Rat,Pig,Cow,Horse,Rabbit,Sheep) 推薦應用:IHC-P,IHC-F,ICC,IF,ELISA
產品描述
| 英文名稱 | PIK3R5 |
| 中文名稱 | 磷脂酰肌醇激酶催化亞單位p101抗體 |
| 別 名 | PIK3R5; PIK3 R5; PI 3-kinase p101; PI3K p101; PI3R5_HUMAN; Phosphoinositide 3-kinase regulatory subunit 5; PI3-kinase regulatory subunit 5; PI3-kinase p101 subunit; Phosphatidylinositol 4,5-bisphosphate 3-kinase regulatory subunit; PtdIns-3-kinase regulatory subunit; Protein FOAP-2; PtdIns-3-kinase p101; p101-PI3K; p101-PI3K; FOAP 2; FOAP2. |
| 研究領域 | 腫瘤 細胞生物 信號轉導 細胞周期蛋白 激酶和磷酸酶 |
| 抗體來源 | Rabbit |
| 克隆類型 | Polyclonal |
| 交叉反應 | Human, Mouse, (predicted: Rat, Pig, Cow, Horse, Rabbit, Sheep, ) |
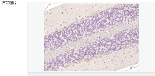
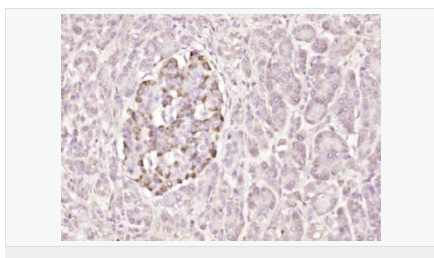
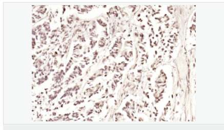
| 產品應用 | ELISA=1:5000-10000 IHC-P=1:100-500 IHC-F=1:100-500 ICC=1:100-500 IF=1:100-500 (石蠟切片需做抗原修復) not yet tested in other applications. optimal dilutions/concentrations should be determined by the end user. |
| 分 子 量 | 97kDa |
| 細胞定位 | 細胞核 細胞漿 |
| 性 狀 | Liquid |
| 濃 度 | 1mg/ml |
| 免 疫 原 | KLH conjugated synthetic peptide derived from human PIK3R5:701-800/880 |
| 亞 型 | IgG |
| 純化方法 | affinity purified by Protein A |
| 儲 存 液 | 0.01M TBS(pH7.4) with 1% BSA, 0.03% Proclin300 and 50% Glycerol. |
| 保存條件 | Shipped at 4℃. Store at -20 °C for one year. Avoid repeated freeze/thaw cycles. |
| PubMed | PubMed |
| 產品介紹 | Phosphatidylinositol 3-kinases (PI3Ks) phosphorylate the inositol ring of phosphatidylinositol at the 3-prime position, and play important roles in cell growth, proliferation, differentiation, motility, survival and intracellular trafficking. The PI3Ks are divided into three classes: I, II and III, and only the class I PI3Ks are involved in oncogenesis. This gene encodes the 101 kD regulatory subunit of the class I PI3K gamma complex, which is a dimeric enzyme, consisting of a 110 kD catalytic subunit gamma and a regulatory subunit of either 55, 87 or 101 kD. This protein recruits the catalytic subunit from the cytosol to the plasma membrane through high-affinity interaction with G-beta-gamma proteins. Multiple alternatively spliced transcript variants encoding two distinct isoforms have been found. [provided by RefSeq, Oct 2011] Function: Regulatory subunit of the PI3K gamma complex. Required for recruitment of the catalytic subunit to the plasma membrane via interaction with beta-gamma G protein dimers. Required for G protein-mediated activation of PIK3CG. Subunit: Heterodimer of a catalytic subunit (PIK3CG/p120) and a regulatory (PIK3R5a/p101) subunit. Interacts with beta-gamma G protein dimers. Subcellular Location: Nucleus. Cytoplasm. Membrane; Peripheral membrane protein. Tissue Specificity: Ubiquitously expressed with high expression in fetal brain compared to adult brain. Abundant expression is observed in cerebellum, cerebral cortex, cerebral meninges, and vermis cerebelli. DISEASE: Ataxia-oculomotor apraxia 3 (AOA3) [MIM:615217]: An autosomal recessive disease characterized by cerebellar ataxia, oculomotor apraxia, areflexia and peripheral neuropathy. Note=The disease is caused by mutations affecting the gene represented in this entry. SWISS: Q8WYR1 Gene ID: 23533 Database links: Entrez Gene: 23533 Human Entrez Gene: 320207 Mouse Omim: 611317 Human SwissProt: Q8WYR1 Human SwissProt: Q5SW28 Mouse Unigene: 278901 Human Unigene: 738684 Human Unigene: 244960 Mouse Important Note: This product as supplied is intended for research use only, not for use in human, therapeutic or diagnostic applications. |


