

貨號
產品規格
售價
備注
BN40979R-100ul
100ul
¥2360.00
交叉反應:Human,Rat(predicted:Mouse,Dog,Pig,Horse,Rabbit) 推薦應用:IHC-P,IHC-F,ICC,IF,ELISA
BN40979R-200ul
200ul
¥3490.00
交叉反應:Human,Rat(predicted:Mouse,Dog,Pig,Horse,Rabbit) 推薦應用:IHC-P,IHC-F,ICC,IF,ELISA
產品描述
| 英文名稱 | PNMT |
| 中文名稱 | 苯乙醇胺甲基轉移酶抗體 |
| 別 名 | Noradrenaline N-methyltransferase; PENT; Phenylethanolamine N-methyltransferase; PNMTase; PNMT_HUMAN. |
| 研究領域 | 腫瘤 心血管 細胞生物 免疫學 神經生物學 轉錄調節因子 |
| 抗體來源 | Rabbit |
| 克隆類型 | Polyclonal |
| 交叉反應 | Rat, (predicted: Human, Mouse, Dog, Pig, Horse, Rabbit, ) |
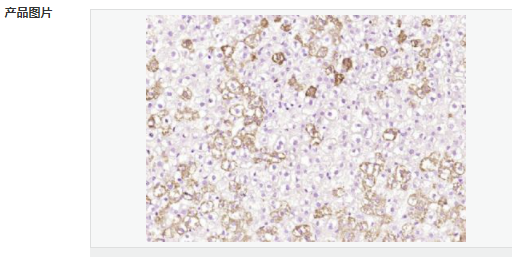
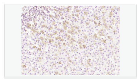
| 產品應用 | ELISA=1:5000-10000 IHC-P=1:100-500 IHC-F=1:100-500 IF=1:100-500 (石蠟切片需做抗原修復) not yet tested in other applications. optimal dilutions/concentrations should be determined by the end user. |
| 分 子 量 | 31kDa |
| 細胞定位 | 細胞漿 |
| 性 狀 | Liquid |
| 濃 度 | 1mg/ml |
| 免 疫 原 | KLH conjugated synthetic peptide derived from human PNMT:101-200/282 |
| 亞 型 | IgG |
| 純化方法 | affinity purified by Protein A |
| 儲 存 液 | 0.01M TBS(pH7.4) with 1% BSA, 0.03% Proclin300 and 50% Glycerol. |
| 保存條件 | Shipped at 4℃. Store at -20 °C for one year. Avoid repeated freeze/thaw cycles. |
| PubMed | PubMed |
| 產品介紹 | Phenylethanolamine N-methyltransferase, PNMT, catalyzes the synthesis of epinephrine from norepinephrine, (adrenalin from noradrenalin), in catecholamine biosynthesis. Function: Converts noradrenaline to adrenaline. Similarity: Belongs to the NNMT/PNMT/TEMT family. SWISS: P11086 Gene ID: 5409 Database links: UniProtKB/Swiss-Prot: P11086.1 Important Note: This product as supplied is intended for research use only, not for use in human, therapeutic or diagnostic applications. PNMT又稱去甲腎上腺素N-甲基轉移酶,其作用;催化將甲基從S-腺苷酰甲硫氨酸轉移到去甲腎上腺素的氨基端生成腎上腺素反應的酶。一般認為:嗜鉻細胞胞漿中存在大量的PNMT,可使去甲腎上腺素甲基化而成腎上腺素(另一個生成腎上腺素的方式)。 |

