

貨號
產品規格
售價
備注
BN40959R-100ul
100ul
¥2470.00
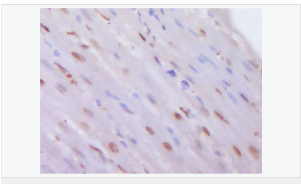
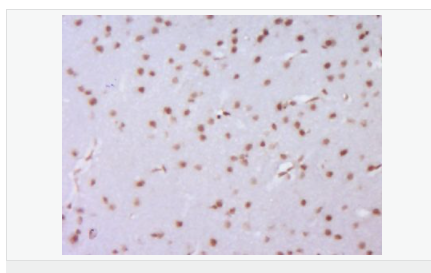
交叉反應:Human,Mouse,Rat(predicted:Pig,Cow,Rabbit,Fruit Fly) 推薦應用:WB,IHC-P,IHC-F,ICC,IF,Flow-Cyt,ELISA
產品描述
| 英文名稱 | Histone H3 (Di Methyl K4) |
| 中文名稱 | 二甲基化組蛋白H3K4抗體 |
| 別 名 | Histone H3(Di Methyl Lys4); H3K4me2; Di methyl Histone H3(Lys4); Di methyl Histone H3(K4); H3 histone family member E pseudogene; H3F3; HIST3H3; Histone H3 3 pseudogene; H31_TETTH; Histone H3; H3S; Histone H3-I/H3-II; Major histone H3; H3F; Histone H3/a; Histone H3/b; Histone H3/c; Histone H3/d; Histone H3/f; Histone H3/h; Histone H3/i; Histone H3/j; Histone H3/k; Histone H3/l; H3K4me2. |
| 產品類型 | 甲基化抗體 |
| 研究領域 | 腫瘤 細胞生物 免疫學 染色質和核信號 轉錄調節因子 表觀遺傳學 |
| 抗體來源 | Rabbit |
| 克隆類型 | Polyclonal |
| 交叉反應 | Human, Mouse, Rat, (predicted: Pig, Cow, Rabbit, Fruit Fly, ) |
| 產品應用 | WB=1:500-2000 ELISA=1:5000-10000 IHC-P=1:100-500 IHC-F=1:100-500 Flow-Cyt=0.2μg /Test ICC=1:100-500 IF=1:100-500 (石蠟切片需做抗原修復) not yet tested in other applications. optimal dilutions/concentrations should be determined by the end user. |
| 分 子 量 | 15kDa |
| 細胞定位 | 細胞核 |
| 性 狀 | Liquid |
| 濃 度 | 1mg/ml |
| 免 疫 原 | KLH conjugated synthetic peptide derived from human Histone H3 (acetyl K4):RT(Di Methyl-K)QT |
| 亞 型 | IgG |
| 純化方法 | affinity purified by Protein A |
| 儲 存 液 | 0.01M TBS(pH7.4) with 1% BSA, 0.03% Proclin300 and 50% Glycerol. |
| 保存條件 | Shipped at 4℃. Store at -20 °C for one year. Avoid repeated freeze/thaw cycles. |
| PubMed | PubMed |
| 產品介紹 | Modulation of the chromatin structure plays an important role in the regulation of transcription in eukaryotes. The nucleosome, made up of four core histone proteins (H2A, H2B, H3 and H4), is the primary building block of chromatin. The N-terminal tail of core histones undergoes different posttranslational modifications including acetylation, phosphorylation and methylation. These modifications occur in response to cell signal stimuli and have a direct effect on gene expression. In most species, the histone H2B is primarily acetylated at lysines 5, 12, 15 and 20. Histone H3 is primarily acetylated at lysines 9, 14, 18 and 23. Acetylation at lysine 9 appears to have a dominant role in histone deposition and chromatin assembly in some organisms. Phosphorylation at Ser10 of histone H3 is tightly correlated with chromosome condensation during both mitosis and meiosis. Function: Core component of nucleosome. Nucleosomes wrap and compact DNA into chromatin, limiting DNA accessibility to the cellular machineries which require DNA as a template. Histones thereby play a central role in transcription regulation, DNA repair, DNA replication and chromosomal stability. DNA accessibility is regulated via a complex set of post-translational modifications of histones, also called histone code, and nucleosome remodeling. H3 is deposited into chromatin exclusively through a DNA replication-coupled pathway that can be associated with either DNA duplication or DNA repair synthesis during meiotic homologous recombination. Subunit: The nucleosome is a histone octamer containing two molecules each of H2A, H2B, H3 and H4 assembled in one H3-H4 heterotetramer and two H2A-H2B heterodimers. The octamer wraps approximately 147 bp of DNA. Interacts with GCN5, whereby H3S10ph increases histone-protein interactions. Interacts with PDD1 and PDD3. Subcellular Location: Nucleus. Chromosome. Note=Localizes to both the large, transcriptionally active, somatic macronucleus (MAC) and the small, transcriptionally inert, germ line micronucleus (MIC). Post-translational modifications: Phosphorylated to form H3S10ph. H3S10ph promotes subsequent H3K14ac formation by GCN5. H3S10ph is only found in the mitotically dividing MIC, but not in the amitotically dividing MAC. H3S10ph is correlated with chromosome condensation during mitotic or meiotic micronuclear divisions. Acetylation of histone H3 leads to transcriptional activation. H3K14ac formation by GCN5 is promoted by H3S10ph. H3K9acK14ac is the preferred acetylated form of newly synthesized H3. Acetylation occurs almost exclusively in the MAC. Methylated to form H3K4me. H3K4me is only found in the transcriptionally active MAC. Methylated to form H3K9me in developing MACs during conjugation, when genome-wide DNA elimination occurs. At this stage, H3K9me specifically occurs on DNA sequences being eliminated (IES), probably targeted by small scan RNAs (scnRNAs) bound to IES, and is required for efficient IES elimination. H3K9me is required for the interaction with the chromodomains of PDD1 and PDD3. The full-length protein H3S (slow migrating) is converted to H3F (fast migrating) by proteolytic removal of the first 6 residues. H3F is unique to MIC, and processing seems to occur regularly each generation at a specific point in the cell cycle. Similarity: Belongs to the histone H3 family. SWISS: Q16695 Gene ID: 8290 Database links: Entrez Gene: 8290 Human Entrez Gene: 8350 Human Entrez Gene: 8351 Human Entrez Gene: 8352 Human Entrez Gene: 8353 Human Entrez Gene: 8354 Human Entrez Gene: 8355 Human Entrez Gene: 8356 Human Entrez Gene: 8357 Human Entrez Gene: 8358 Human Entrez Gene: 8968 Human Entrez Gene: 260423 Mouse Entrez Gene: 319148 Mouse Entrez Gene: 319149 Mouse Entrez Gene: 319150 Mouse Entrez Gene: 319151 Mouse Entrez Gene: 319152 Mouse Entrez Gene: 319153 Mouse Entrez Gene: 360198 Mouse Entrez Gene: 97908 Mouse Omim: 601128 Human Omim: 602810 Human Omim: 602811 Human Omim: 602812 Human Omim: 602813 Human Omim: 602814 Human Omim: 602815 Human Omim: 602816 Human Omim: 602817 Human Omim: 602818 Human Omim: 602819 Human SwissProt: P68431 Human SwissProt: P84243 Human SwissProt: Q16695 Human SwissProt: Q6NXT2 Human SwissProt: Q71DI3 Human SwissProt: P68433 Mouse SwissProt: P84228 Mouse Unigene: 132854 Human Unigene: 247813 Human Unigene: 247814 Human Unigene: 248176 Human Unigene: 443021 Human Unigene: 484990 Human Unigene: 532144 Human Unigene: 533292 Human Unigene: 546315 Human Unigene: 586261 Human Unigene: 591778 Human Unigene: 221301 Mouse Unigene: 261657 Mouse Unigene: 377874 Mouse Unigene: 390558 Mouse Unigene: 397328 Mouse Unigene: 138090 Rat Important Note: This product as supplied is intended for research use only, not for use in human, therapeutic or diagnostic applications. |






