

貨號
產品規格
售價
備注
BN40907R-100ul
100ul
¥2470.00
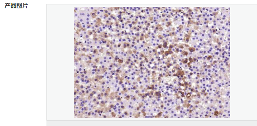
交叉反應:Human,Rat(predicted:Mouse,Dog,Pig,Rabbit) 推薦應用:WB,IHC-P,IHC-F,IF,Flow-Cyt,ELISA
產品描述
| 英文名稱 | Phospho-SIRT1 (Ser47) |
| 中文名稱 | 磷酸化沉默調節蛋白1抗體 |
| 別 名 | 75SirT1; BA57G10.4; hSIR2; hSIRT1; NAD dependent deacetylase SIRT1; NAD dependent deacetylase sirtuin 1; NAD dependent deacetylase sirtuin 2; Silent mating type information regulation 2; OTTHUMP00000198111; OTTHUMP00000198112; SIR2 like 1; SIR2 like protein 1; SIR2-like protein 1; Regulatory protein SIR2 homolog 1; SIR1_HUMAN; SIR2ALPHA; SIR2alpha protein; SIR2L1; SIR2L2; SIRT 1; SIRT-1; Sirt1; SIRT1 Sir2 like proteins (siruitins) type 1; SIRT1: sirtuin (silent mating type information regulation 2 homolog) 1 (S. cerevisiae); sirtuin (silent mating type information regulation 2 homolog) 1 (S. cerevisiae); SirtT1 75 kDa fragment; sirtuin (silent mating type information regulation 2 homolog) 1 (S. cerevisiae);Sirtuin 1; sirtuin; Sirtuin type 1; Sirtuin type 2. |
| 產品類型 | 磷酸化抗體 |
| 研究領域 | 細胞生物 免疫學 染色質和核信號 微生物學 新陳代謝 表觀遺傳學 |
| 抗體來源 | Rabbit |
| 克隆類型 | Polyclonal |
| 交叉反應 | Human, Rat, (predicted: Mouse, Dog, Pig, Rabbit, ) |
| 產品應用 | WB=1:500-2000 ELISA=1:5000-10000 IHC-P=1:100-500 IHC-F=1:100-500 Flow-Cyt=1ug/Test IF=1:100-500 (石蠟切片需做抗原修復) not yet tested in other applications. optimal dilutions/concentrations should be determined by the end user. |
| 分 子 量 | 58/81kDa |
| 細胞定位 | 細胞核 細胞漿 |
| 性 狀 | Liquid |
| 濃 度 | 1mg/ml |
| 免 疫 原 | KLH conjugated Synthesised phosphopeptide derived from human SirT1 around the phosphorylation site of Ser47:R(p-S)PG |
| 亞 型 | IgG |
| 純化方法 | affinity purified by Protein A |
| 儲 存 液 | 0.01M TBS(pH7.4) with 1% BSA, 0.03% Proclin300 and 50% Glycerol. |
| 保存條件 | Shipped at 4℃. Store at -20 °C for one year. Avoid repeated freeze/thaw cycles. |
| PubMed | PubMed |
| 產品介紹 | This gene encodes a member of the sirtuin family of proteins, homologs to the yeast Sir2 protein. Members of the sirtuin family are characterized by a sirtuin core domain and grouped into four classes. The functions of human sirtuins have not yet been determined; however, yeast sirtuin proteins are known to regulate epigenetic gene silencing and suppress recombination of rDNA. Studies suggest that the human sirtuins may function as intracellular regulatory proteins with mono-ADP-ribosyltransferase activity. The protein encoded by this gene is included in class I of the sirtuin family. Alternative splicing results in multiple transcript variants. Function: SirtT1 75 kDa fragment: catalytically inactive 75SirT1 may be involved in regulation of apoptosis. May be involved in protecting chondrocytes from apoptotic death by associating with cytochrome C and interfering with apoptosome assembly. Subunit: Found in a complex with PCAF and MYOD1 (By similarity). Component of the eNoSC complex, composed of SIRT1, SUV39H1 and RRP8. Interacts with HES1, HEY2 and PML. Interacts with RPS19BP1/AROS. Interacts with KIAA1967/DBC1 (via N-terminus); the interaction disrupts the interaction between SIRT1 and p53/TP53. Interacts with SETD7; the interaction induces the dissociation of SIRT1 from p53/TP53 and increases p53/TP53 activity. Interacts with MYCN, NR1I2, CREBZF, TSC2, TLE1, FOS, JUN, NR0B2, PPARG, NCOR, IRS1, IRS2 and NMNAT1. Interacts with HNF1A; the interaction occurs under nutrient restriction. Interacts with SUZ12; the interaction mediates the association with the PRC4 histone methylation complex which is specific as an association with PCR2 and PCR3 complex variants is not found. Interacts with HIV-1 tat. Subcellular Location: Nucleus, PML body. Cytoplasm. Note=Recruited to the nuclear bodies via its interaction with PML. Colocalized with APEX1 in the nucleus. May be found in nucleolus, nuclear euchromatin, heterochromatin and inner membrane. Shuttles between nucleus and cytoplasm. SirtT1 75 kDa fragment: Cytoplasm. Mitochondrion. Tissue Specificity: Widely expressed. Post-translational modifications: Methylated on multiple lysine residues; methylation is enhanced after DNA damage and is dispensable for deacetylase activity toward p53/TP53. Phosphorylated. Phosphorylated by STK4/MST1, resulting in inhibition of SIRT1-mediated p53/TP53 deacetylation. Phosphorylation by MAPK8/JNK1 at Ser-27, Ser-47, and Thr-530 leads to increased nuclear localization and enzymatic activity. Phosphorylation at Thr-530 by DYRK1A and DYRK3 acivates deacetylase activity and promotes cell survival. Phosphorylation by mammalian target of rapamycin complex 1 (mTORC1) at Ser-47 inhibits deacetylation activity. Phosphorylated by CaMK2, leading to increased p53/TP53 and NF-kappa-B p65/RELA deacetylation activity (By similarity). Phosphorylation at Ser-27 implicating MAPK9 is linked to protein stability. There is some ambiguity for some phosphosites: Ser-159/Ser-162 and Thr-544/Ser-545. Proteolytically cleaved by cathepsin B upon TNF-alpha treatment to yield catalytic inactive but stable SirtT1 75 kDa fragment (75SirT1). S-nitrosylated by GAPDH, leading to inhibit the NAD-dependent protein deacetylase activity (By similarity). Similarity: Belongs to the sirtuin family. Contains 1 deacetylase sirtuin-type domain. SWISS: Q96EB6 Gene ID: 23411 Database links: Entrez Gene: 23411 Human Entrez Gene: 93759 Mouse Omim: 604479 Human SwissProt: Q96EB6 Human SwissProt: Q923E4 Mouse Unigene: 369779 Human Unigene: 351459 Mouse Important Note: This product as supplied is intended for research use only, not for use in human, therapeutic or diagnostic applications. 在Sirtuin蛋白家族中,sirtuin 1參與多種新陳代謝活動,包括DNA的自我保護和修復,抑制脂質過氧化積累,抑制其他細胞凋亡相關基因的表達以及和細胞壽命相關的活動。限制攝入的熱量可以加強SIRT1的表達,從而延長了壽命。 |




