

貨號
產品規格
售價
備注
BN40641R-100ul
100ul
¥2360.00
交叉反應:Human,Mouse,Rat(predicted:Pig,Cow,Sheep) 推薦應用:WB,IHC-P,IHC-F,IF,ELISA
BN40641R-200ul
200ul
¥3490.00
交叉反應:Human,Mouse,Rat(predicted:Pig,Cow,Sheep) 推薦應用:WB,IHC-P,IHC-F,IF,ELISA
產品描述
| 英文名稱 | GPR49/LGR5 |
| 中文名稱 | G蛋白偶聯受體49抗體 |
| 別 名 | G protein coupled receptor 49; G-protein coupled receptor 49; G-protein coupled receptor 67; GPCR GPR49; G protein coupled receptor 67; FEX; g protein-coupled receptor fex; G-protein coupled receptor HG38; GPR 49; GPR 67; GPR49; GPR67; Leucine rich repeat containing G protein coupled receptor 5; LGR5; HG 38; HG38; LGR5; LGR5_HUMAN; MGC117008; Leucine-rich repeat-containing G-protein coupled receptor 5; LGR 5; Orphan G protein coupled receptor HG38. |
| 研究領域 | 腫瘤 信號轉導 干細胞 細胞凋亡 G蛋白偶聯受體 G蛋白信號 |
| 抗體來源 | Rabbit |
| 克隆類型 | Polyclonal |
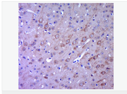
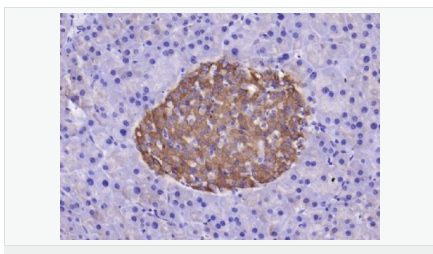
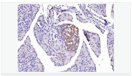
| 交叉反應 | Human, Mouse, Rat, (predicted: Pig, Cow, Sheep, ) |
| 產品應用 | WB=1:500-2000 ELISA=1:5000-10000 IHC-P=1:100-500 IHC-F=1:100-500 IF=1:100-500 (石蠟切片需做抗原修復) not yet tested in other applications. optimal dilutions/concentrations should be determined by the end user. |
| 分 子 量 | 98kDa |
| 細胞定位 | 細胞膜 |
| 性 狀 | Liquid |
| 濃 度 | 1mg/ml |
| 免 疫 原 | KLH conjugated synthetic peptide derived from human GPR49/LGR5:331-430/907 <Extracellular> |
| 亞 型 | IgG |
| 純化方法 | affinity purified by Protein A |
| 儲 存 液 | 0.01M TBS(pH7.4) with 1% BSA, 0.03% Proclin300 and 50% Glycerol. |
| 保存條件 | Shipped at 4℃. Store at -20 °C for one year. Avoid repeated freeze/thaw cycles. |
| PubMed | PubMed |
| 產品介紹 | The protein encoded by this gene is a leucine-rich repeat-containing receptor (LGR) and member of the G protein-coupled, 7-transmembrane receptor (GPCR) superfamily. The encoded protein is a receptor for R-spondins and is involved in the canonical Wnt signaling pathway. This protein plays a role in the formation and maintenance of adult intestinal stem cells during postembryonic development. Several transcript variants encoding different isoforms have been found for this gene. [provided by RefSeq, Sep 2015] Function: Receptor for R-spondins that potentiates the canonical Wnt signaling pathway and acts as a stem cell marker of the intestinal epithelium and the hair follicle. Upon binding to R-spondins (RSPO1, RSPO2, RSPO3 or RSPO4), associates with phosphorylated LRP6 and frizzled receptors that are activated by extracellular Wnt receptors, triggering the canonical Wnt signaling pathway to increase expression of target genes. In contrast to classical G-protein coupled receptors, does not activate heterotrimeric G-proteins to transduce the signal. Involved in the development and/or maintenance of the adult intestinal stem cells during postembryonic development. Subunit: Identified in a complex composed of RNF43, LGR5 and RSPO1. Subcellular Location: Cell membrane; Multi-pass membrane protein Tissue Specificity: Expressed in skeletal muscle, placenta, spinal cord, and various region of brain. Expressed at the base of crypts in colonic and small mucosa stem cells. In premalignant cancer expression is not restricted to the cript base. Overexpressed in cancers of the ovary, colon and liver. Similarity: Belongs to the G-protein coupled receptor 1 family. Contains 16 LRR (leucine-rich) repeats. Contains 1 LRRNT domain. SWISS: O75473 Gene ID: 8549 Database links: Entrez Gene: 8549 Human Entrez Gene: 14160 Mouse Omim: 606667 Human SwissProt: O75473 Human SwissProt: Q9Z1P4 Mouse Unigene: 658889 Human Unigene: 42103 Mouse Unigene: 214063 Rat Important Note: This product as supplied is intended for research use only, not for use in human, therapeutic or diagnostic applications. Lgr5基因(Wnt細胞信號系統)是一種G蛋白偶聯受體,已經被確定為幾種成年組織和癌癥中干細胞的一個獨特標記。Lgr5最初是在結腸癌細胞中發現的,有報道稱:在惡化前的小鼠腺瘤中也有發現,這說明Lgr5很可能也是其他組織成體干細胞和癌癥干細胞的標志物。 |




