

貨號
產品規格
售價
備注
BN40549R-100ul
100ul
¥2470.00
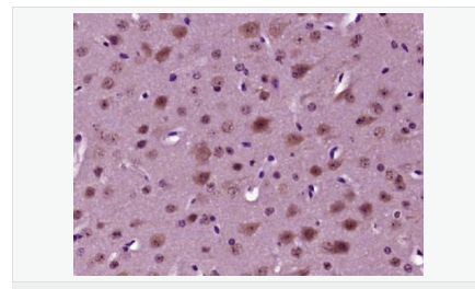
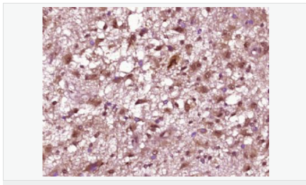
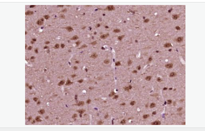
交叉反應:Human,Mouse,Rat(predicted:Pig,Cow,Sheep) 推薦應用:WB,IHC-P,IHC-F,ICC,IF,ELISA
產品描述
| 英文名稱 | phospho-NeuroD1 (Ser274) |
| 中文名稱 | 磷酸化神經細胞分化因子1抗體 |
| 別 名 | NeuroD1 (phospho S274); p-NeuroD1 (phospho S274); atonal; basic helix loop helix transcription factor; BETA 2; Beta cell E box transactivator 2; BETA2; BHF 1; BHF1; bHLHa3; class A basic helix loop helix protein 3; Class A basic helix-loop-helix protein 3; MODY 6; MODY6; NDF1_HUMAN; NEUROD; NeuroD1; Neurogenic differentiation 1; Neurogenic differentiation factor 1; neurogenic helix loop helix protein NEUROD; NIDDM. |
| 產品類型 | 磷酸化抗體 |
| 研究領域 | 腫瘤 心血管 細胞生物 神經生物學 表觀遺傳學 |
| 抗體來源 | Rabbit |
| 克隆類型 | Polyclonal |
| 交叉反應 | Human, Mouse, Rat, (predicted: Pig, Cow, Sheep, ) |
| 產品應用 | WB=1:500-2000 ELISA=1:5000-10000 IHC-P=1:100-500 IHC-F=1:100-500 ICC=1:100-500 IF=1:100-500 (石蠟切片需做抗原修復) not yet tested in other applications. optimal dilutions/concentrations should be determined by the end user. |
| 分 子 量 | 40kDa |
| 細胞定位 | 細胞核 細胞漿 |
| 性 狀 | Liquid |
| 濃 度 | 1mg/ml |
| 免 疫 原 | KLH conjugated Synthesised acetylpeptide derived from human NeuroD1 around the acetylation site of Ser274:PL(p-S)PP |
| 亞 型 | IgG |
| 純化方法 | affinity purified by Protein A |
| 儲 存 液 | 0.01M TBS(pH7.4) with 1% BSA, 0.03% Proclin300 and 50% Glycerol. |
| 保存條件 | Shipped at 4℃. Store at -20 °C for one year. Avoid repeated freeze/thaw cycles. |
| PubMed | PubMed |
| 產品介紹 | This gene encodes a member of the NeuroD family of basic helix-loop-helix (bHLH) transcription factors. The protein forms heterodimers with other bHLH proteins and activates transcription of genes that contain a specific DNA sequence known as the E-box. It regulates expression of the insulin gene, and mutations in this gene result in type II diabetes mellitus. [provided by RefSeq, Jul 2008] Function: Differentiation factor required for dendrite morphogenesis and maintenance in the cerebellar cortex. Transcriptional activator. Binds to the insulin gene E-box. Subcellular Location: Cytoplasm. Nucleus. Post-translational modifications: Phosphorylated. In islet cells, phosphorylated on Ser-274 upon glucose stimulation; which may be required for nuclear localization. In activated neurons, phosphorylated on Ser-335; which promotes dendritic growth. DISEASE: Defects in NEUROD1 are the cause of maturity-onset diabetes of the young type 6 (MODY6) [MIM:606394]. MODY is a form of diabetes that is characterized by an autosomal dominant mode of inheritance, onset in childhood or early adulthood (usually before 25 years of age), a primary defect in insulin secretion and frequent insulin-independence at the beginning of the disease. Similarity: Contains 1 basic helix-loop-helix (bHLH) domain. SWISS: Q13562 Gene ID: 4760 Database links: Entrez Gene: 4760 Human Entrez Gene: 18012 Mouse Omim: 601724 Human SwissProt: Q13562 Human SwissProt: Q60867 Mouse Unigene: 574626 Human Unigene: 709709 Human Unigene: 4636 Mouse Unigene: 44289 Rat Important Note: This product as supplied is intended for research use only, not for use in human, therapeutic or diagnostic applications. |



