

貨號
產品規格
售價
備注
BN40507R-100ul
100ul
¥2360.00
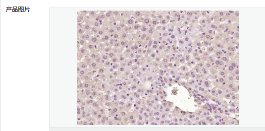
交叉反應:Mouse,Rat(predicted:Human,Pig,Cow,Horse,Rabbit,Sheep) 推薦應用:IHC-P,IHC-F,ICC,IF,ELISA
BN40507R-200ul
200ul
¥3490.00
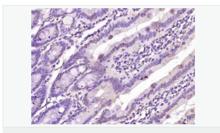
交叉反應:Mouse,Rat(predicted:Human,Pig,Cow,Horse,Rabbit,Sheep) 推薦應用:IHC-P,IHC-F,ICC,IF,ELISA
產品描述
| 英文名稱 | MSGN1 |
| 中文名稱 | 間生蛋白抗體 |
| 別 名 | Mesogenin-1 Mesogenin1; Msgn1; MSGN1_HUMAN; paraxial mesogenin. |
| 研究領域 | 細胞生物 發育生物學 |
| 抗體來源 | Rabbit |
| 克隆類型 | Polyclonal |
| 交叉反應 | Mouse, Rat, (predicted: Human, Pig, Cow, Horse, Rabbit, Sheep, ) |
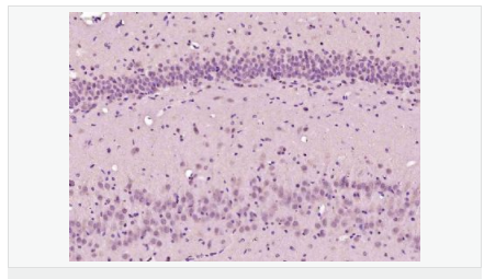
| 產品應用 | ELISA=1:5000-10000 IHC-P=1:100-500 IHC-F=1:100-500 ICC=1:100-500 IF=1:100-500 (石蠟切片需做抗原修復) not yet tested in other applications. optimal dilutions/concentrations should be determined by the end user. |
| 分 子 量 | 21kDa |
| 細胞定位 | 細胞核 |
| 性 狀 | Liquid |
| 濃 度 | 1mg/ml |
| 免 疫 原 | KLH conjugated synthetic peptide derived from human MSGN1:101-193/193 |
| 亞 型 | IgG |
| 純化方法 | affinity purified by Protein A |
| 儲 存 液 | 0.01M TBS(pH7.4) with 1% BSA, 0.03% Proclin300 and 50% Glycerol. |
| 保存條件 | Shipped at 4℃. Store at -20 °C for one year. Avoid repeated freeze/thaw cycles. |
| PubMed | PubMed |
| 產品介紹 | Involved in the formation and segmentation of paraxial mesoderm. Has the regulatory capacity to specify ventrolateral (including future paraxial), but not dorsal (future axial), mesoderm phenotypes. Seems to be an upstream regulator of at least some elements of the Notch and Delta signaling pathway. Function: Involved in specifying the paraxial, but not dorsal, mesoderm. May regulate the expression of T-box transcription factors required for mesoderm formation and differentiation (By similarity). Subcellular Location: Nucleus. Similarity: Contains 1 basic helix-loop-helix (bHLH) domain. SWISS: A6NI15 Gene ID: 343930 Database links: Entrez Gene: 343930 Human Omim: 612209 Human SwissProt: A6NI15 Human Unigene: 705359 Human Important Note: This product as supplied is intended for research use only, not for use in human, therapeutic or diagnostic applications. |


