

貨號
產品規格
售價
備注
BN40477R-100ul
100ul
¥2360.00
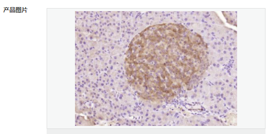
交叉反應:Mouse(predicted:Human,Rat,Dog,Pig,Cow,Rabbit,Sheep) 推薦應用:IHC-P,IHC-F,ICC,IF,ELISA
BN40477R-200ul
200ul
¥3490.00
交叉反應:Mouse(predicted:Human,Rat,Dog,Pig,Cow,Rabbit,Sheep) 推薦應用:IHC-P,IHC-F,ICC,IF,ELISA
產品描述
| 英文名稱 | IMP3 |
| 中文名稱 | 胰島素樣生長因子2mRNA結合蛋白3抗體 |
| 別 名 | Cancer/testis antigen 98; CT98; DKFZp686F1078; hKOC; IF2B3_HUMAN; IGF II mRNA binding protein 3; IGF-II mRNA-binding protein 3; IGF2 mRNA binding protein 3; IGF2 mRNA-binding protein 3; IGF2BP3; IMP 3; IMP-3; Insulin like growth factor 2 mRNA binding protein 3; Insulin-like growth factor 2 mRNA-binding protein 3; KH domain containing protein overexpressed in cancer; KH domain-containing protein overexpressed in cancer; KOC 1; KOC1; VICKZ 3; VICKZ family member 3; VICKZ3. |
| 研究領域 | 腫瘤 細胞生物 信號轉導 結合蛋白 |
| 抗體來源 | Rabbit |
| 克隆類型 | Polyclonal |
| 交叉反應 | Mouse, (predicted: Human, Rat, Dog, Pig, Cow, Rabbit, Sheep, ) |
| 產品應用 | ELISA=1:5000-10000 IHC-P=1:100-500 IHC-F=1:100-500 ICC=1:100-500 IF=1:100-500 (石蠟切片需做抗原修復) not yet tested in other applications. optimal dilutions/concentrations should be determined by the end user. |
| 分 子 量 | 64kDa |
| 細胞定位 | 細胞核 細胞漿 |
| 性 狀 | Liquid |
| 濃 度 | 1mg/ml |
| 免 疫 原 | KLH conjugated synthetic peptide derived from human IMP3:21-100/579 |
| 亞 型 | IgG |
| 純化方法 | affinity purified by Protein A |
| 儲 存 液 | 0.01M TBS(pH7.4) with 1% BSA, 0.03% Proclin300 and 50% Glycerol. |
| 保存條件 | Shipped at 4℃. Store at -20 °C for one year. Avoid repeated freeze/thaw cycles. |
| PubMed | PubMed |
| 產品介紹 | The protein encoded by this gene is primarily found in the nucleolus, where it can bind to the 5' UTR of the insulin-like growth factor II leader 3 mRNA and may repress translation of insulin-like growth factor II during late development. The encoded protein contains several KH domains, which are important in RNA binding and are known to be involved in RNA synthesis and metabolism. A pseudogene exists on chromosome 7, and there are putative pseudogenes on other chromosomes. [provided by RefSeq, Jul 2008] Function: RNA-binding protein that act as a regulator of mRNA translation and stability. Binds to the 5'-UTR of the insulin-like growth factor 2 (IGF2) mRNAs. Binds to sequences in the 3'-UTR of CD44 mRNA. Subcellular Location: Nucleus. Cytoplasm. Found in lamellipodia of the leading edge, in the perinuclear region, and beneath the plasma membrane. The subcytoplasmic localization is cell specific and regulated by cell contact and growth. Localized at the connecting piece and the tail of the spermatozoa. Colocalized with CD44 mRNA in RNP granules. Tissue Specificity: Expressed in fetal liver, fetal lung, fetal kidney, fetal thymus, fetal placenta, fetal follicles of ovary and gonocytes of testis, growing oocytes, spermatogonia and semen (at protein level). Expressed in cervix adenocarcinoma, in testicular, pancreatic and renal-cell carcinomas (at protein level). Expressed ubiquitously during fetal development at 8 and 14 weeks of gestation. Expressed in ovary, testis, brain, placenta, pancreatic cancer tissues and pancreatic cancer cell lines. Similarity: Belongs to the RRM IMP/VICKZ family. Contains 4 KH domains. Contains 2 RRM (RNA recognition motif) domains. SWISS: O00425 Gene ID: 10643 Database links: Entrez Gene: 10643 Human Entrez Gene: 140488 Mouse Omim: 608259 Human SwissProt: O00425 Human SwissProt: Q9CPN8 Mouse Unigene: 700696 Human Unigene: 281018 Mouse Important Note: This product as supplied is intended for research use only, not for use in human, therapeutic or diagnostic applications. |
