

貨號
產品規格
售價
備注
BN40375R-100ul
100ul
¥2360.00
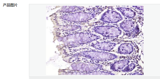
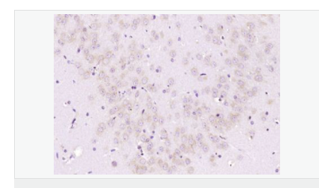
交叉反應:Mouse,Rat(predicted:Human,Dog,Pig,Cow,Horse,Rabbit,Sheep) 推薦應用:IHC-P,IHC-F,ICC,IF,ELISA
BN40375R-200ul
200ul
¥3490.00
交叉反應:Mouse,Rat(predicted:Human,Dog,Pig,Cow,Horse,Rabbit,Sheep) 推薦應用:IHC-P,IHC-F,ICC,IF,ELISA
產品描述
| 英文名稱 | ABH1 |
| 中文名稱 | ALKB蛋白抗體 |
| 別 名 | ABH; ABH1; alkB; AlkB, alkylation repair homolog 1 (E. coli); ALKB1_HUMAN; ALKBH; ALKBH1; Alkylated DNA repair protein alkB homolog 1; Alkylation repair homolog 1; Alkylation repair, alkB homolog; Alpha-ketoglutarate-dependent dioxygenase ABH1; DNA lyase ABH1; hABH. |
| 研究領域 | 腫瘤 神經生物學 表觀遺傳學 |
| 抗體來源 | Rabbit |
| 克隆類型 | Polyclonal |
| 交叉反應 | Mouse, Rat, (predicted: Human, Dog, Pig, Cow, Horse, Rabbit, Sheep, ) |
| 產品應用 | ELISA=1:5000-10000 IHC-P=1:100-500 IHC-F=1:100-500 ICC=1:100-500 IF=1:100-500 (石蠟切片需做抗原修復) not yet tested in other applications. optimal dilutions/concentrations should be determined by the end user. |
| 分 子 量 | 44kDa |
| 細胞定位 | 細胞核 細胞漿 |
| 性 狀 | Liquid |
| 濃 度 | 1mg/ml |
| 免 疫 原 | KLH conjugated synthetic peptide derived from human ABH1/ALKB:1-100/389 |
| 亞 型 | IgG |
| 純化方法 | affinity purified by Protein A |
| 儲 存 液 | 0.01M TBS(pH7.4) with 1% BSA, 0.03% Proclin300 and 50% Glycerol. |
| 保存條件 | Shipped at 4℃. Store at -20 °C for one year. Avoid repeated freeze/thaw cycles. |
| PubMed | PubMed |
| 產品介紹 | ALKB protects DNA and RNA against damage from methylating compounds from the environment by directly reversing 1-methyladenine (1-meA) and 3-methylcytosine (3-meC) cytotoxic alkylation lesions in DNA and RNA. The enzymes act by oxidative demethylation, utilizing ferrous iron and alpha-ketoglutarate as cofactors, 2-oxoglutarate as a co-substrate, and molecular oxygen as the oxidizing agent. Deficiencies in DNA and RNA repair in mammals are associated with cancer, neurological disease and developmental defects. ALKB plays a role in resistance to anti-cancer drugs which attempt to damage tumor DNA. Escherichia coli ALKB protein belongs to the superfamily of 2-oxoglutarate- and iron(II)-dependent oxygenases. Function: Dioxygenase that repairs alkylated single-stranded DNA and RNA containing 3-methylcytosine by oxidative demethylation. Requires molecular oxygen, alpha-ketoglutarate and iron. May have a role in placental trophoblast lineage differentiation (By similarity). Has DNA lyase activity and introduces double-stranded breaks at abasic sites. Cleaves both single-stranded DNA and double-stranded DNA at abasic sites, with the greatest activity towards double-stranded DNA with two abasic sites. DNA lyase activity does not require alpha-ketoglutarate and iron. Subunit: Monomer. Interacts with DNAJB6 (By similarity). Subcellular Location: Mitochondrion. Nucleus. Mainly localizes in euchromatin, largely excluded from heterochromatin and nucleoli. Tissue Specificity: Ubiquitous. Similarity: Belongs to the alkB family. Contains 1 Fe2OG dioxygenase domain. SWISS: Q13686 Gene ID: 8846 Database links: Entrez Gene: 8846 Human Entrez Gene: 211064 Mouse Omim: 605345 Human SwissProt: Q13686 Human SwissProt: P0CB42 Mouse Unigene: 94542 Human Unigene: 26840 Mouse Important Note: This product as supplied is intended for research use only, not for use in human, therapeutic or diagnostic applications. |

