

貨號
產品規格
售價
備注
BN40287R-100ul
100ul
¥2360.00
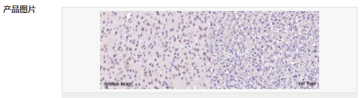
交叉反應:Mouse,Rat(predicted:Human,Dog,Pig,Cow,Horse,Sheep) 推薦應用:WB,IHC-P,IHC-F,ICC,IF,ELISA
BN40287R-200ul
200ul
¥3490.00
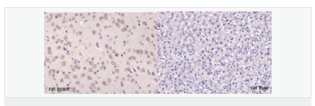
交叉反應:Mouse,Rat(predicted:Human,Dog,Pig,Cow,Horse,Sheep) 推薦應用:WB,IHC-P,IHC-F,ICC,IF,ELISA
產品描述
| 英文名稱 | MOBP |
| 中文名稱 | 少突膠質細胞髓鞘相關蛋白抗體 |
| 別 名 | MGC87379; Myelin associated oligodendrocyte basic protein; MOBP_HUMAN. |
| 研究領域 | 細胞生物 神經生物學 細胞類型標志物 |
| 抗體來源 | Rabbit |
| 克隆類型 | Polyclonal |
| 交叉反應 | Mouse, Rat, (predicted: Human, Dog, Pig, Cow, Horse, Sheep, ) |
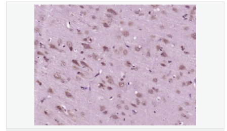
| 產品應用 | WB=1:500-2000 ELISA=1:5000-10000 IHC-P=1:100-500 IHC-F=1:100-500 ICC=1:100-500 IF=1:100-500 (石蠟切片需做抗原修復) not yet tested in other applications. optimal dilutions/concentrations should be determined by the end user. |
| 分 子 量 | 21kDa |
| 細胞定位 | 細胞漿 |
| 性 狀 | Liquid |
| 濃 度 | 1mg/ml |
| 免 疫 原 | KLH conjugated synthetic peptide derived from human MOBP:7-90/183 |
| 亞 型 | IgG |
| 純化方法 | affinity purified by Protein A |
| 儲 存 液 | 0.01M TBS(pH7.4) with 1% BSA, 0.03% Proclin300 and 50% Glycerol. |
| 保存條件 | Shipped at 4℃. Store at -20 °C for one year. Avoid repeated freeze/thaw cycles. |
| PubMed | PubMed |
| 產品介紹 | The gene encoding MOBP a member of the central nervous system myelin-constituting proteins, maps to chromosome 3p22.2. MOBP has many splice variants that share a 68 amino acid N-terminal domain. MOBP-71, MOBP-81A, MOBP-99, and MOBP-169 are MOBP splice variants that contain exon 8b, which is similar to myelin basic protein (MBP) mRNA RTS, however MOBP-69, MOBP-81B, and MOBP-170 lack this exon. The splice variants that contain exon 8b are expressed in myelin, while those lacking exon 8b are retained in the oligodendrocyte soma. Exon 8b-containing variants are directed to sites of myelin sheath assembly by exon 8b, where they play a structural role in myelin formation. Splice variants lacking exon 8b likely play a cellular and/or regulatory role. MOBP is implicated in multiple sclerosis (MS), a human demyelinating disease, and in allergic encephalomyelitis in rodents. Function: MOBP (Myelin-associated oligodendrocytic basic protein) is abundantly expressed specifically in oligodendrocytes and is the third most abundant protein in CNS myelin. MOBP is present in the major dense line of CNS myelin suggesting a role in the compaction or stabilization of myelin. Subcellular Location: Cytoplasm, perinuclear region. Note=Present in the major dense line of CNS myelin (By similarity). SWISS: Q13875 Gene ID: 4336 Database links: Entrez Gene: 4336 Human Entrez Gene: 17433 Mouse Omim: 600948 Human SwissProt: Q13875 Human SwissProt: Q9D2P8 Mouse Unigene: 121333 Human Important Note: This product as supplied is intended for research use only, not for use in human, therapeutic or diagnostic applications. |


